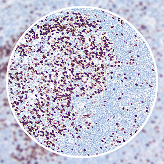
Ki-67

产品名称分类:Ki-67抗体试剂(免疫组织化学)
克隆号:DGM006、DGR006
来源:鼠/兔
适用平台:大格、徕卡、罗氏、DAKO
定位:细胞核
适用:石蜡切片
阳性对照:扁桃体
修复方式:高pH热修复
规格:3mL/6mL/10 mL (工作液)

产品简介

Ki-67,分子量358 kDa,是一种与细胞增殖有关的核蛋白,主要表达在细胞分裂周期G1、S、M和G2期,在细胞静止期G0期不表达,存在于所有增殖细胞中。Ki-67抗体可用于诊断不同类型的肿瘤,用以确定细胞群体增殖比例,与bcl-2联用用于诊断Burkitt淋巴瘤。

推荐产品

沪公网安备31012002005577号