p40

产品名称分类:p40抗体试剂(免疫组织化学)
克隆号:DGM010、DGR010
来源:鼠/兔
适用平台:大格、徕卡、罗氏、DAKO
定位:细胞核
适用:石蜡切片
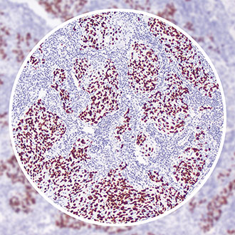
阳性对照:肺麟癌
修复方式:高pH热修复
规格:3mL/6mL/10 mL (工作液)

产品简介

p40(Rab9 effector protein with kelch motifs),分子量41 kDa,是p63蛋白的亚型之一。主要表达在复层上皮组织的基底细胞层或祖细胞层(如鳞状上皮、尿路上皮、支气管上皮)、某些腺上皮的基底细胞(如前列腺)、乳腺和唾液腺的肌上皮细胞、滋养层及胸腺上皮细胞。p40抗体可用于诊断鉴别肺鳞癌和肺腺癌。

推荐产品

沪公网安备31012002005577号