p16

产品名称分类:p16抗体试剂(免疫组织化学)
克隆号:DGM013、DGR013
来源:鼠/兔
适用平台:大格、徕卡、罗氏、DAKO
定位:细胞浆/细胞核
适用:石蜡切片
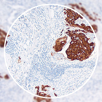
阳性对照:宫颈癌
修复方式:高pH热修复
规格:3mL/6mL/10 mL (工作液)

产品简介

p16,又称p16INK4A、MST1和CDKN2,分子量15.8 kDa,是一种细胞周期蛋白依赖性激酶4(CDK4) 的抑制蛋白,由多肿瘤抑制基因(multiple tumor suppressor 1,MTS1)编码,定位于染色体9P21。主要表达在高级别宫颈上皮内瘤变和高危型HPV感染的肿瘤中,能通过与cyclinD1 以竞争方式结合CDK4,抑制CDK4 的活性,具有阻止Rb 蛋白的磷酸化,使细胞停滞于G0 期或G1 期,而抑制细胞分裂、增殖的功能。p16抗体可用于诊断HPV感染的宫颈癌或宫颈高级别上皮内瘤。

推荐产品

沪公网安备31012002005577号